Before & Afters

Real Smiles. Personalized Care. Beautiful Results.

Every smile is unique, and so is every treatment plan. At Sorin Dental Wellness, we tailor dental care to each patient’s individual goals, needs, and starting point. Whether a smile transformation involves veneers, crowns, clear aligner orthodontics, or restorative care, our focus is always on achieving natural-looking, lasting results.

The before and after photos below showcase real patient outcomes across a range of treatments. These transformations reflect our commitment to precision, comfort, and thoughtful treatment planning.

Smile Makeovers

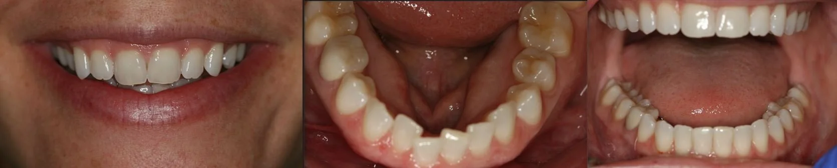
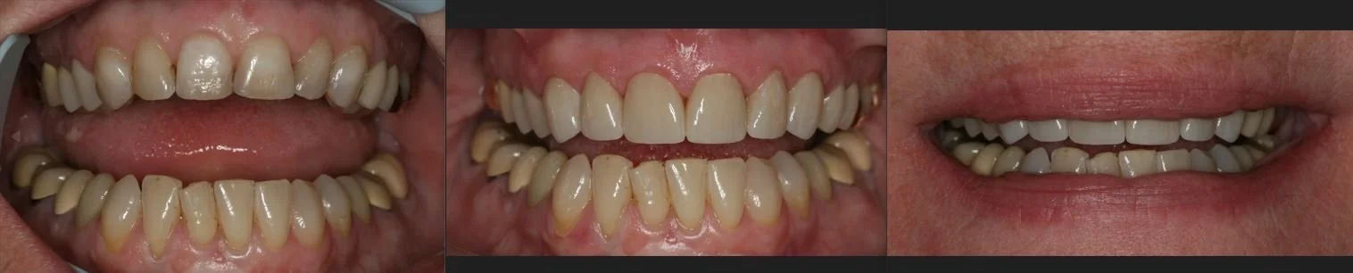
6 new crowns on upper front teeth

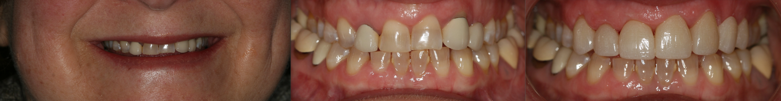
Full mouth rehabilitation - 24 new crowns

6 new crowns on upper front teeth

6 new crowns on upper front teeth

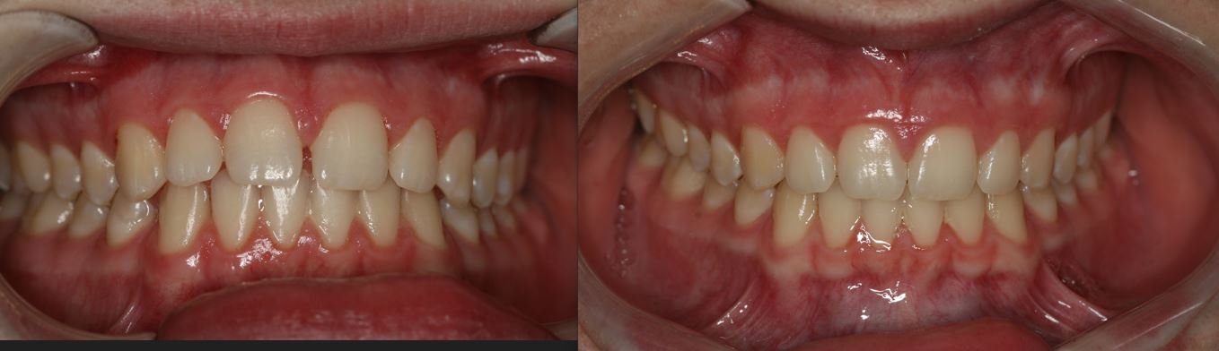
Suresmile Ortho Aligner

Your Results Start with a Conversation

Before recommending any treatment, we take the time to understand what you want to change and what you want to preserve. We believe confidence comes from collaboration, education, and trust.

If you’re considering improving your smile, we invite you to schedule a consultation and explore what’s possible.